EG-UR5
超声电子上消化道内窥镜
超声电子上消化道内窥镜
广告
可人为将灰阶图像转变成彩色的显示方式,增强人眼对于不同回声强度的敏感度,主观上增加了图像分辨率
微米成像技术提升了对组织斑点噪声信号的抑制能力,并进一步强化边界信息,从而获得信噪比更优、边界更清楚锐利的图像
随着组织深度的变化,超声接收频率进行智能匹配跟踪,确保图像中、远场良好的穿透力以及整场一致的分辨力,从而得到均一的画质
紧跟科技前沿技术实现超声图像无线传输,为医生获取图像、学习交流提供更为便利的方式
S60是米兰官方网站超声在智能化解决方案和高端成像技术的一次跨越式革新推出一系列深度贴合临床需求、解决临床实际问题的智能化助手和高级成像功能切实帮助您提升检查效率、提高诊断信心
位移矫正技术
不可靠区域自动剔除
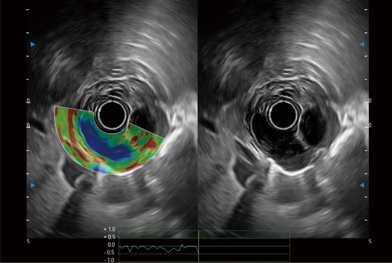
弹性定量分析软件
融合谐波技术
动态声压控制技术
TIC时间强度分析曲线
具有四种造影成像效果
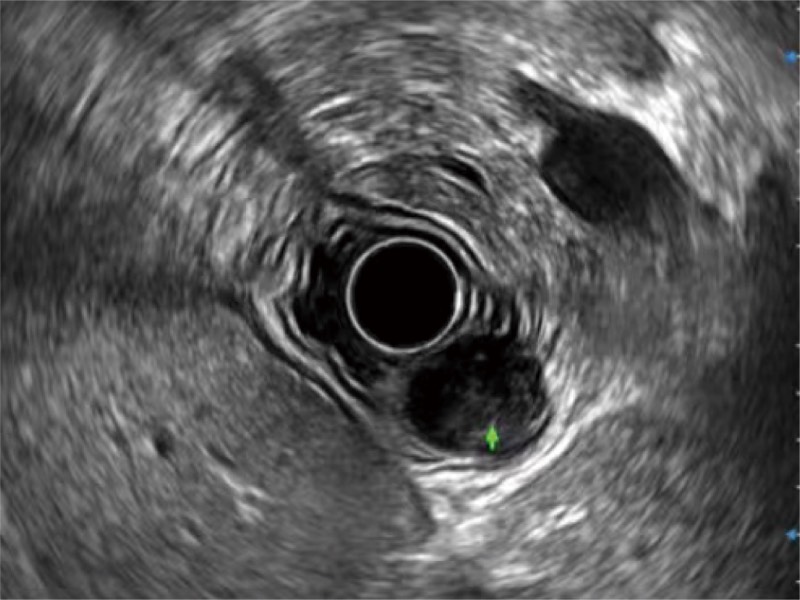
食管内间质瘤清晰显像
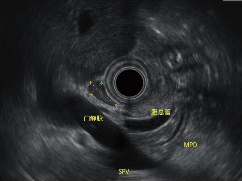
清晰显示胆总管及周围血管分布
肝左叶和肝静脉的横截面
优越的弯曲角度,更小的弯曲半径,为医生提供了更好的操控手感
物镜清洗功能使内镜视野保持清晰
360°电子环形扫查与高清内镜影像相结合,提供了良好的插入性能和高清的内镜图像
卓越的宽频设计,满足医生探查不同深度的组织和器官
搭配独立超声主机,为临床提供更优质的超声画质
提供更便捷的人机交互界面
禁忌内容或者注意事项详见说明书

微信公众号
0188-22223333
400-800-8820
版权所有 @米兰官方网站 苏ICP备20008866
互联网电子信息服务资格证书[(苏)-非经营性-2002-0888